Ash Leaf Spots in Tuberous Sclerosis | Dermatology | Medical Notes

CAD$1+

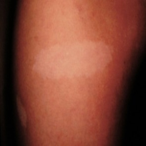
What are Ash leaves?

Reason for the term ' Ash Leaf Spots'

What is Tuberous Sclerosis?

The Triad

Genetics

TS Society

CAD$
I want this!

Medical Notes about Ash Leaf Spots from a Doctor

Medical Notes
Judgment
Reasoning
Size
63 KB
Length
2 pages
CAD$1+

Ash Leaf Spots in Tuberous Sclerosis | Dermatology | Medical Notes

I want this!